
Ehi voi, anime coraggiose che state affrontando il mistero e l'aura di terrore che circonda l'estrazione del dente del giudizio! Vi capisco perfettamente. Sembra una di quelle cose che senti solo dai tuoi amici più grandi o da qualche film un po' drammatico. Ma, spoiler alert: non è poi così spaventoso come sembra, e soprattutto, non deve svuotarti le tasche come se avessi comprato un'isola privata! Parliamo di quella famigerata domanda che frulla nella testa di tutti: "Quanto costa l'estrazione del dente del giudizio?"
Immaginatevi la scena: state lì, magari sognando la prossima pizza o il nuovo episodio della vostra serie preferita, e poi BAM! Quella sensazione... quella sensazione che qualcosa di epico sta per accadere nella vostra bocca. A volte, i denti del giudizio decidono di farsi vivi, ma non sempre nel modo più educato. Magari spuntano storti, magari non hanno proprio spazio, o magari sono solo dei piccoli sabotatori di sorrisi. E quando il vostro dentista, con quel tono calmo e professionale che sa un po' di profezia, vi dice: "Potrebbe essere necessario estrarre questi 'piccoli' amici", la prima cosa che vi balena in testa è proprio quella cifra. La spesa estrazione dente giudizio. E la mente inizia a correre come un cavallo imbizzarrito! Diciamo che è un po' come guardare il prezzo di un gadget tecnologico super figo: ti chiedi se ne varrà la pena, se il tuo portafoglio è pronto a fare un sacrificio da eroe.
Ma ecco la buona notizia, amici miei! Il costo per far sparire questi "ospiti ingombranti" non è una cifra astronomica scritta nelle stelle. Pensateci come a un investimento per la vostra serenità orale. Diciamo che è un po' come quando decidete di farvi una bella vacanza: ci sono opzioni per tutti i budget, dalle fughe lampo low-cost ai resort da sogno che ti fanno sentire una star di Hollywood. E l'estrazione del dente del giudizio non è da meno!
Allora, entriamo nel vivo della questione. Quanto potrebbe chiedervi il vostro dentista per questa avventura odontoiatrica? Diciamo che il prezzo base, per un dente del giudizio che decide di collaborare e di uscire con un piccolo aiutino, potrebbe aggirarsi intorno ai 100-200 euro. Pensateci come a un buon aperitivo con gli amici, ma invece di ricordi divertenti, vi portate a casa un sorriso senza dolore e senza problemi futuri. Mica male, vero?
Ma, diciamocelo, i denti del giudizio a volte sono dei veri e propri artisti della complicazione. Magari sono sepolti come un tesoro pirata, magari sono piegati in posizioni che farebbero invidia a un contorsionista circense. In questi casi, l'estrazione diventa un po' più "artistica", e di conseguenza, il prezzo sale. Parliamo di cifre che potrebbero andare dai 200 ai 400 euro, a volte anche qualcosina in più, a seconda della complessità.

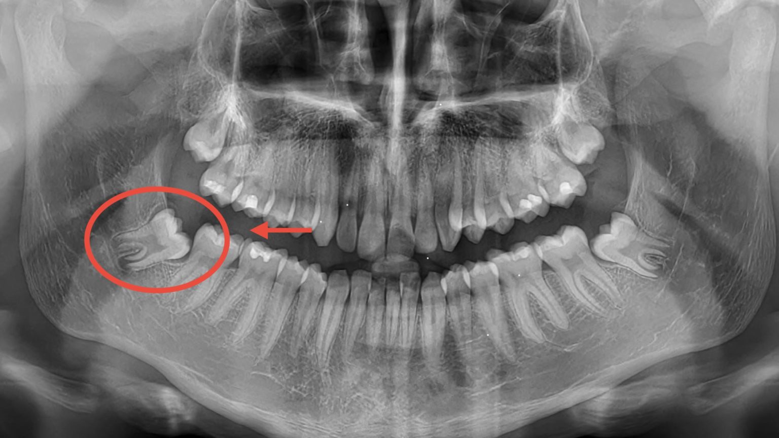
E se il vostro dente del giudizio ha deciso di nascondersi come un ninja? Se è completamente incluso nell'osso, magari a malaposta, allora siamo di fronte a un intervento un po' più... "specializzato". Qui entra in gioco il chirurgo orale, un vero e proprio mago della bocca! In questi casi, la tariffa estrazione dente del giudizio può variare considerevolmente. Diciamo che potreste trovarvi di fronte a cifre che vanno dai 300 ai 700 euro, e a volte, per casi davvero ostici e se sono più di uno, potremmo spingerci anche oltre i 1000 euro. Ma non fatevi prendere dal panico! Questo è per i casi più impegnativi, quando il dente è un vero e proprio "intruso" che ha bisogno di essere persuasodalla cavità orale.
Ma attenzione! Queste sono solo stime generali, come dare un'occhiata alle previsioni del tempo. Il prezzo esatto può dipendere da un sacco di fattori:
Estrazione del Dente del Giudizio: Come Funziona, Costo e Rischi
- La difficoltà dell'estrazione: come abbiamo detto, un dente che esce con un sorriso è diverso da uno che fa resistenza come un campione di sumo.
- La clinica o lo studio dentistico: un centro dentistico super moderno e tecnologico potrebbe avere prezzi leggermente diversi da uno più tradizionale.
- La città in cui vi trovate: a Milano o Roma, i prezzi potrebbero essere un pochino più "vivaci" che in una piccola cittadina di provincia.
- Se avrete bisogno di sedazione: a volte, per i più ansiosi o per interventi più complessi, si può optare per una leggera sedazione. E questa, ovviamente, ha un costo aggiuntivo.
Ora, so cosa state pensando: "Ma se il mio dente del giudizio mi sta facendo impazzire, devo proprio fare un mutuo?". Assolutamente no! La bellezza della medicina moderna (e soprattutto della cura della bocca) è che ci sono sempre delle soluzioni. Prima di tutto, parlate apertamente con il vostro dentista. Lui o lei è lì per aiutarvi, non per spaventarvi con numeri assurdi. Chiedete un preventivo dettagliato. È un vostro diritto, e vi aiuterà a capire esattamente cosa state pagando.
Inoltre, molte cliniche dentistiche offrono la possibilità di pagare a rate. Pensateci come a trasformare quella spesa "one-shot" in una serie di piccole puntate, proprio come la vostra serie preferita. In questo modo, potete prendervi cura della vostra salute orale senza dover sacrificare la vacanza da sogno che avevate in mente.

E poi, non dimentichiamoci dei vantaggi! Un dente del giudizio che crea problemi può causare dolore, infezioni, e danneggiare gli altri denti. Estraendolo, state investendo nella vostra salute a lungo termine. È un po' come quando decidete di comprare quel materasso comodo che vi promette notti serene: all'inizio vi costa, ma poi dormite come angioletti per anni! Quindi, la spesa estrazione dente del giudizio, vista in quest'ottica, diventa un investimento in benessere.
Ricordate, il vostro sorriso è un bene prezioso, e prendersi cura dei propri denti è fondamentale. Non lasciate che la paura del costo vi impedisca di risolvere un problema. Parlate con il vostro dentista, chiedete informazioni, esplorate le opzioni di pagamento. E soprattutto, affrontate questa avventura con un pizzico di leggerezza. Dopotutto, stiamo parlando di rimuovere un piccolo pezzo di "dramma" dalla vostra bocca per far spazio a sorrisi ancora più radiosi e sereni. E questo, amici miei, vale più di mille euro!
Quindi, la prossima volta che sentirete parlare di estrazione dente del giudizio, non immaginatevi una spedizione dell'orrore per un tesoro perduto. Pensatela piuttosto come a un'operazione di "riqualificazione immobiliare" della vostra bocca, dove il dentista è l'architetto e voi siete i proprietari soddisfatti di un immobile (la vostra bocca!) rimesso a nuovo e pronto per essere vissuto al meglio. E il prezzo? Beh, è un prezzo che vi permette di tornare a sorridere senza pensieri, e questa è una gioia impagabile!
